中部矯正歯科クリニック

治療症例

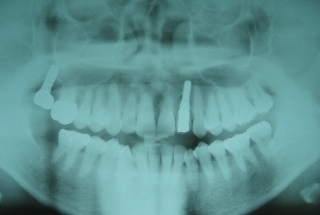
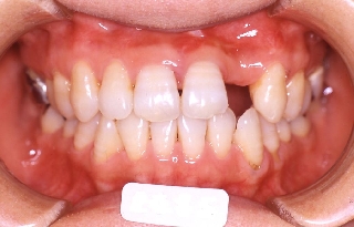
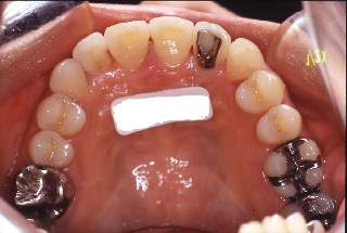
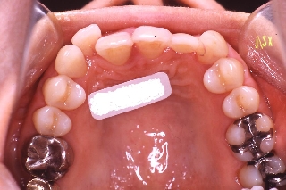
インプラント治療の為の矯正治療症例2

初診時年齢52歳。上顎前歯部欠損部インプラント治療前の咬合改善目的に来院。
当院にて前歯部の被蓋の改善を行った。
インプラント治療は専門医にて行った。

治療前 治療後
正面 正面 正面
右側面 右側面 右側面
左側面 左側面 左側面
上顎 上顎 上顎
下顎 下顎 下顎