中部矯正歯科クリニック

治療症例

インプラント治療の為の矯正治療症例1

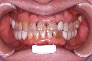
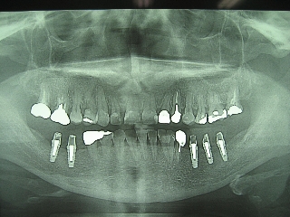
初診時年齢58歳。下顎臼歯部インプラント治療前の咬合改善を目的に来院。
咬み合わせを高くする事で受け口の改善ならびに下顎インプラント挿入スペースを作成した。
矯正治療と並行して専門医によるインプラント治療を行った。

治療前 治療後
正面 正面 正面
右側面 右側面 右側面
左側面 左側面 左側面
上顎 上顎 上顎
下顎 下顎 下顎