中部矯正歯科クリニック

治療症例

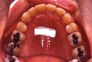
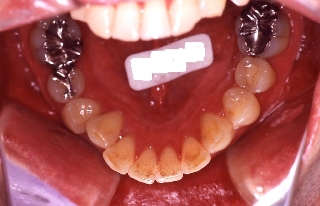
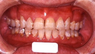
歯周病併発症例2

初診時年齢42歳 年々上顎前歯が傾斜してきた事を主訴に来院。
専門医による歯周治療の後、矯正治療を行った。

治療前 治療後
正面 正面 正面
右側面 右側面 右側面
左側面 左側面 左側面
上顎 上顎 上顎
下顎 下顎 下顎