中部矯正歯科クリニック

治療症例

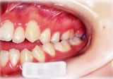
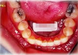
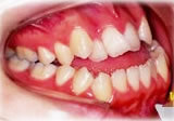
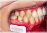
開咬症例

初診時年齢○○歳。前歯部での咬合不全を主訴に来院。
骨格性開咬と診断し、外科的処置を併用して治療。
矯正治療は上下顎歯列を拡大しスペースを作成、非抜歯にて行った。
(外科処置併用のため矯正治療も健康保険を適応)

治療前 治療後
正面 正面 正面
右側面 右側面 右側面
左側面 左側面 左側面
上顎 上顎 上顎
下顎 下顎 下顎