中部矯正歯科クリニック

治療症例

顎変形症例

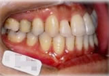
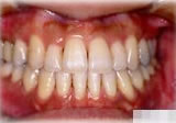
初診時年齢31歳7ヶ月。下顎側方偏位による咬合不全を主訴に来院。
顎変形と診断し、外科的処置を併用して治療。
(外科処置併用のため矯正治療も健康保険を適応)

治療前 治療後
正面 正面 正面
右側面 右側面 右側面
左側面 左側面 左側面
上顎 上顎 上顎
下顎 下顎 下顎