中部矯正歯科クリニック

治療症例

上顎前突(出っ歯)症例2

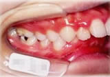
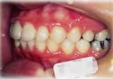
初診時年齢○○歳。上顎前歯前突を主訴に来院。
検査の結果、上顎歯列の狭窄に伴う上顎前歯の唇側傾斜。下顎前歯の先天欠如(1本)による上顎前突症と診断。
上下歯列の側方拡大でできたスペースを利用して上顎前歯の舌側傾斜、下顎前歯1本分のスペース作成を行った。
下顎前歯欠損部分は咬合状態が安定した時点で一般歯科にて補綴治療を行った。

治療前 治療後
正面 正面 正面
右側面 右側面 右側面
左側面 左側面 左側面
上顎 上顎 上顎
下顎 下顎 下顎