中部矯正歯科クリニック

治療症例

上顎前突(出っ歯)症例1

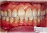
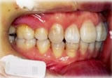
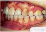
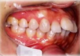
初診時年齢30歳9ヶ月。上顎前歯前突を主訴に来院。
検査の結果、歯性上顎前突症と診断。上顎左右第1小臼歯を抜歯して矯正治療を行った。

治療前 治療後
正面 正面 正面
右側面 右側面 右側面
左側面 左側面 左側面
上顎 上顎 上顎
下顎 下顎 下顎