中部矯正歯科クリニック

治療症例

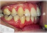
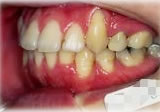
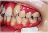
叢生(ガタガタ)症例2

初診時年齢19歳9ヶ月。叢生を主訴に来院。
上顎左側第1小臼歯、上顎右側第2小臼歯、下顎左右第1小臼歯を抜歯し矯正治療を行った。

治療前   治療後
正面 正面 正面
右側面 右側面 右側面
左側面 左側面 左側面
上顎 上顎 上顎
下顎 下顎 下顎