中部矯正歯科クリニック

治療症例

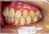
叢生(ガタガタ)症例1

初診時年齢12歳7ヶ月。叢生による咬合不全を主訴に来院。
上下歯列側方拡大によりスペースを作成、非抜歯にて矯正治療を行った。

治療前 治療後
正面 正面 正面
右側面 右側面 右側面
左側面 左側面 左側面
上顎 上顎 上顎
下顎 下顎 下顎